Mengapa Invisalign Dibanding Aligner Lain?
Aligner SmartTrack™ yang fleksibel, transparan, dan nyaman dipakai sehari-hari.
Perawatan dirancang dengan ClinCheck® & digital scan untuk hasil yang terukur sejak awal.
SmartForce® attachments membantu mengarahkan pergerakan gigi dengan lebih presisi.
Dipercaya oleh jutaan pasien di seluruh dunia, dengan bukti klinis yang kuat.
Rata-rata 3–18 bulan, disesuaikan dengan kompleksitas kasus Anda.
Perkembangan perawatan dapat dipantau secara digital, lebih praktis dan terkontrol.
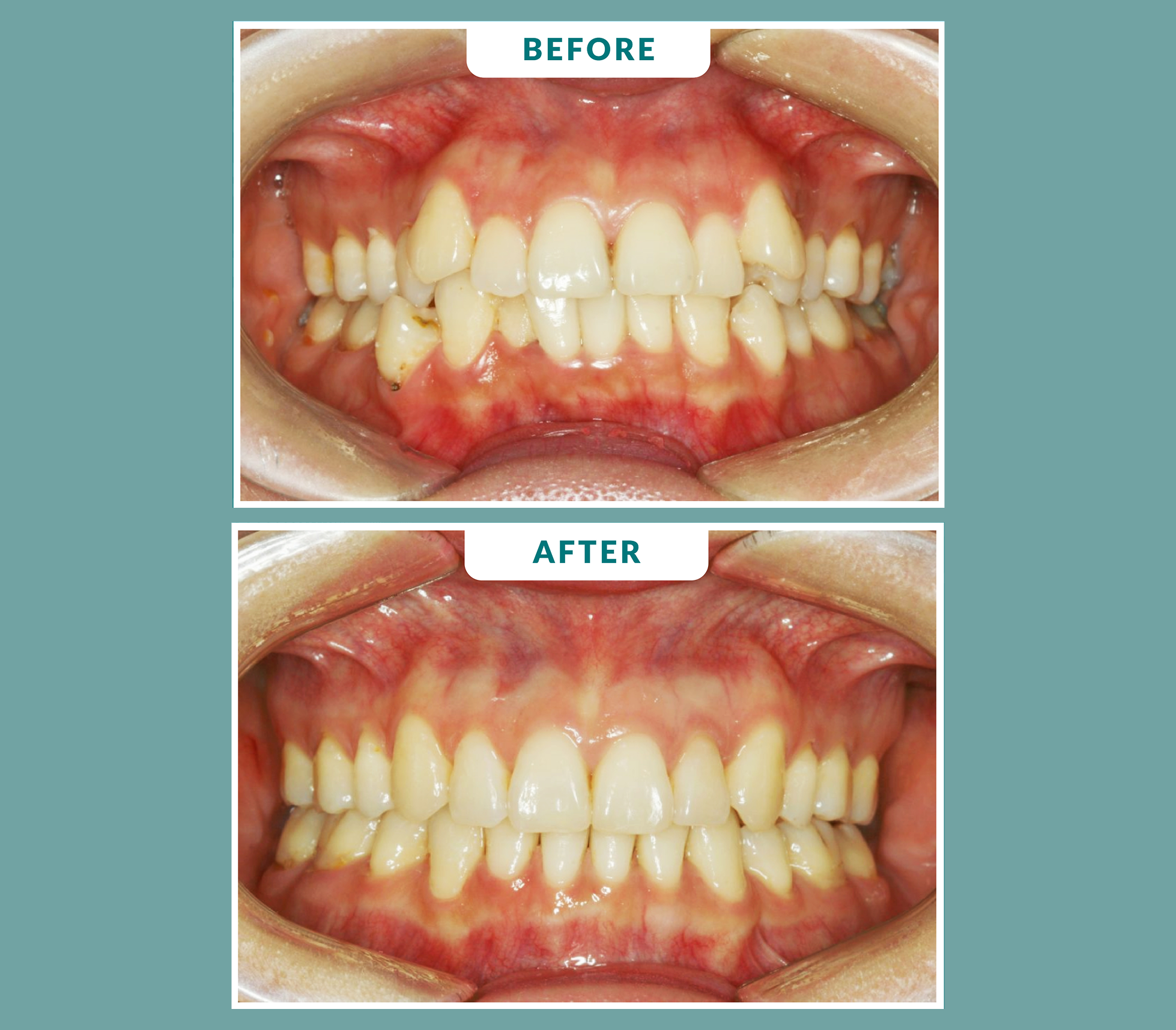
Perawatan Invisalign
Sesuai Usia




Bagaimana Proses Invisalign?
Konsultasi dengan Invisalign Specialist
Perencanaan Perawatan Digital
Produksi & Fitting Aligner
Pemakaian & Kontrol Berkala
Senyum Baru, Percaya Diri Baru
Frequently asked questions




